

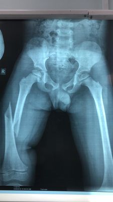
This 4-year old patient presented to the emergency room with a spiral displaced fracture of the right femur. He was running at school and tripped and fell.
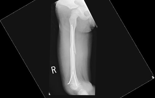
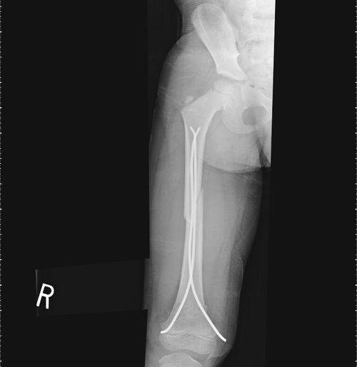
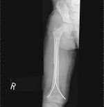
He was treated by flexible retrograde intramedullary rods with closed insertion under image guidance with good pos-top results.
His rods will be removed at three months and he is expected to make a full recovery.