

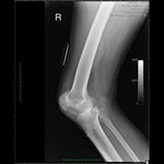
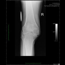
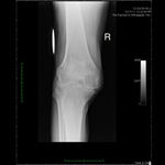
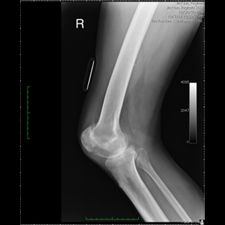
Patient seen with Bilateral Knee Pain and had been unable to walk for two (2) years.
On clinical and radiological examination, he was assessed as having Severe Primary Osteoarthritis of both knees.
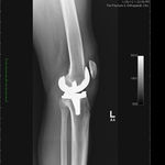
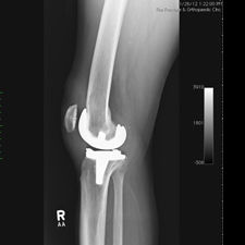
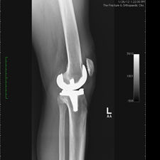
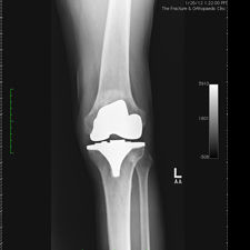
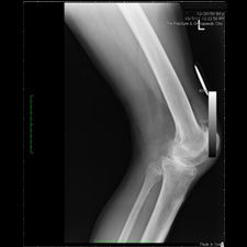
Bilateral Total Knee Replacement was recommended, and performed on July 27th 2011. Since surgery, the patient has made good progress and can now mobilize with the aid of a walker.
His x-rays and clinical examination suggest good early outcome with a fully mobilized patient with pain free knees and the ability to walk independently.
At the present time, he remains under our care and with physiotherapy and self-exercise, he will continue to improve.