About Us | Our Location | Contact Us (868) 622-2122

Case Studies

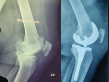
Patient 20

Patient 20

62 year old female with stage 4 OA

Primary Left TKR

 

Pre-op images of Right Knee

Post op images of Right knee