About Us
|
Our Location
|
Contact Us
(868) 622-2122
Follow us!
Home
Meet Our Doctors
MR. DERRICK E. LOUSAING
MR. GODFREY M. ARAUJO
MS. RENÉE R. CRUICKSHANK
Mr. Leroy James
DR. AHMAD H. RAHMAN
Conditions
General
Spine
Neck
Shoulder
Elbow
Wrist & Hand
Hip
Knee
Ankle
Foot
Patient Education
Exercises
PRP and Stem Cell Treatments for Young Athletes
FAQs About Joint Replacements
Hip and Knee Care
Nerve Conduction Study - Median Ulnar Radial Nerve and Elbow Ulnar Nerve
X-rays
Procedures
Videos
Careers
Blog
Why is My Shoulder Hurting? - Dr. Godfrey Araujo
Shoulder Pain
Shoulder Instability
Knee Arthritis
Achilles Tendonitis
Bunions
When is Hip replacement needed?
PRP and hyaluronic acid combination therapy
Benefits of Knee replacement surgery
Limb lengthening
Understanding arthritis
Hand Injuries
ALL ARTICLES
Case Studies
Patient 24
Patient 23
Patient 22
Patient 21
Patient 20
Patient 19
Patient 18
Patient 17
Patient 16
Patient 15
Patient 14
Patient 13
Patient 12
Patient 11
Patient 10
Patient 9
Patient 8
Patient 7
Patient 6
Patient 5
Patient 4
Patient 3
Patient 2
Patient 1
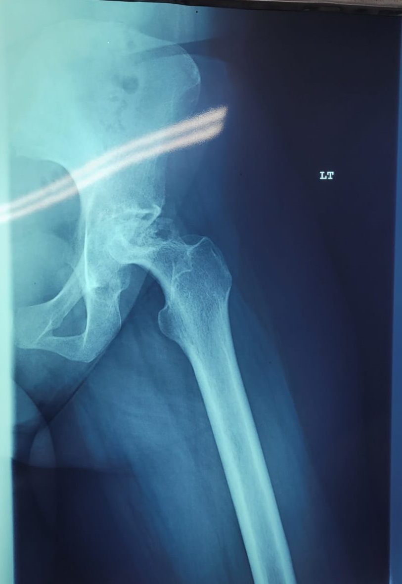
Patient 23
38 year old with avascular necrosis of the hip
Ceramic on poly articulation