

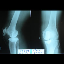
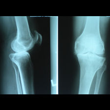
A 58 year old, male patient presented with a history of left knee pain and loss of function over 4 years.
On clinical and radiological examination, he was assessed as having Medial Compartment Osteoarthritis. A uni-compartmental knee replacement was recommended and performed in June 2011. Patient has gone onto complete recovery with a satisfactory clinical outcome. She returned to independent function, six weeks after the surgery and now has an pain-free existence with full function in the right knee after two months.