

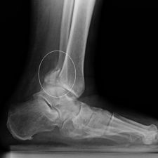
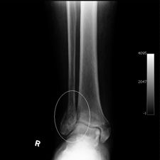
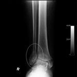
This 65-year-old insulin-dependent diabetic sustained a fracture of his right ankle in 2010 and had an open reduction internal fixation which failed due to problems with his healing. He went on to have a complete collapse of the right ankle and sought opinions on the options for him.
He was diagnosed as having a Charcot's Joint i.e. due to his diabetic status, he lost sensation in the foot and ankle area which eventually led to a collapse of the foot and ankle and resulted in poor wound healing and bone repair. These all led to his poor outcome from his primary surgery.
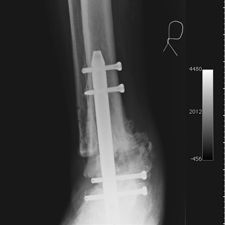
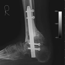
Because of his diabetic and vascular condition, one of the options given to him was amputation. He is a motivational speaker and it would have seriously affected his functioning. He sought our advice and he was told that the option of amputation was viable but we would recommend an arthrodesis of the ankle using an intra-medullary device (BIOMET -http://www.biomet.com/regions/caribbean/trinidadAndTobago.cfm) which we have previously utilized to good effect in cases like these.
He opted to have a right hind foot arthrodesis, which was carried out utilizing an intramedullary arthrodesis nail, which was performed in July 2011.
He has gone onto have good healing and fusion of the ankle with preservation of his foot and has allowed him to mobilize independently without pain and return to his job. At last review he was independently mobilizing and did not have any pain, He has restarted working and has no problems.